exerce une pratique privée libérale et exclusive en Implantologie et en esthétique à Paris dans le 7ème arrondissement de Paris.
Dr Gary FINELLE a obtenu son diplôme de Chirurgie Dentaire à l’Université de Paris 7, en 2009. Entre 2011 et 2013, il a suivi un cursus de spécialisation d’implantologie à temps plein au sein du programme d’études supérieures (post-graduate) d’Implantologie Orale à l’université d’Harvard School of Dental Medicine (Boston, Massachussets – Directeur: Dr German Gallucci, HSDM).
Le concept SSA a été mis en oeuvre pour la première fois en 2014 par les Dr Gary Finelle et Antoine Popelut. Il s’agit de réaliser un pilier de cicatrisation anatomique et personnalisé assurant le scellement alvéolaire dans le cadre des techniques d’’extraction/ implantation immédiate en secteur molaire.
Notre pratique implantaire subit une mutation importante, comme jamais ce ne fut le cas auparavant. Au cours de la dernière décennie, des chamboulements technologiques se sont dessinés, façonnant une dentisterie nouvelle et moderne assurément tournée vers le micro-invasive, Biomimétique et Numérique.
Matériel et équipement :
Implant : Straumann et Biotech Dental
Instrumentation : Hu-Friedy
Cone Beam : Planmeca
Caméra Intra-orale : Medit I700 (2021) Medit I500 (2019), Sirona Omnicam (2013)
Scanner Facial : Application Bellus 3D ( Dental)
Appareil Photo : Nikon D7100 – Flash R1 sur Ring (2013) – Nikon X5 Flash R1 sur Ring (2021)


















Social Media
doc_garfi
Mai 4
Repost - @germangallucci
Harvard connection. For the last three decades, our paths crossed at @harvarddentalmed as RDBS Chairs, AGE Implantology Directors, AGE Prosthodontic residents, Scholars, and Visiting Professorships. Thank you @hpweber2 for your long-lasting mentorship!
#harvardental #iticonsensusmeeting #lisbon
@lambert.france @panos__papaspyridakos @dr.ale_lanis @dr.adam_hamilton @buser_sculean_academy @hpweber2 @drandredesouza @ronyjung ...
doc_garfi
Mai 3
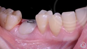
Good old SSA on a special patient 😃✌🏻!
After 9 years doing routinely this procedure, I can strongly believe this is the best way to replace a molar with implant today 😍
🙌🏻 Step by step
🕵️♀️Success hides in detail … every small things counts;)
🎵 Put the music on
📚 ongoing research 🔬 with @lambert.france @uperioliege
Thanks to @georgezacusai & @sophiedallem for the digital Prosthetic work 🙏🏻🙏🏻
#implant #implantology #dentistry #dentaltraining #immediateimplant #SSAimplant #workflow #stepbystep #dentaleducation #lessismore ...
doc_garfi
Mar 3
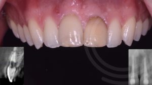
3 months after surgery…
Always the same routine
It’s time to validate osseointegration :
1. Clinical evaluation 👄
2. ISQ MEASUREMENTS 🎚️
3 Digital impression by @meditcompany 💻
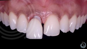
Key steps for final esthetic implant restoration :
- Design : Final crown made out of provisional validated contour
- Selection of proper GH height tibase (@biotech dental)
- Minimal reduction for layering
- skilled technician @asselinbonichon
Follow talented dentist: @doca2rk @doc_max_dro @benjamincortasse @julien_mourlaas @dr.grogger @akhondi.dmd @dr.perio.implant @doc_chamieh @ctc_vienne @drromaincheron @doc_popelut
Smooth workflow - Two appointment : 15 min + 15 min
(Every challenges and difficulty were concentrated in the surgical and immediate loading phase)
#esthetic #implant #immediateimplant #dentistfrance #paris #digital #prosthetics #dentistlife #dentistry #photography #lessismore #digitalart #workflow #modernimplant #meditation #biotechdental #technology # ...
doc_garfi
Fév 24
My Fav implant molar Routine 🦷💙
Simple, scannable, predictable
@ssa_gf @biotechdental
#immediateimplant #SSAIMPLANT #atraumatic #digitalimpression #smartabutment #lessismore #dentistry #implantology #emergenceprofilematters #nivuniconnu #implant #dentist #paris #dentistparis #againandagain❤️ #patientexperience ...
doc_garfi
Fév 17
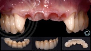
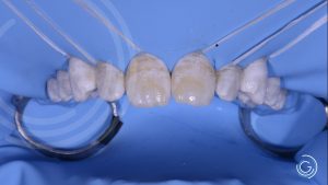
Pontic management 🌁
Small but critical detail… of long case.
When it comes to design prosthetic designs of pontics on post extractional sites, I like to engage the transmucosal portion quiet deep with a similar design as if I wanted to connect it to an illusional implant.
In my opinion, THE only way to:
🔍 create subcritical support for soft tissue
🔍 stabilize marginal cervical contour
🔍enhance esthetical papilla scalloping
Tips:
1. NEEDS TO BE DONE IMMEDIATELY AFTER EXTRACTION
2. SOCKETS NEEDS TO BE FILLED WITH BIOMATERIALS
3. NEEDS TO BE THE IDEAL PROFILE WITHOUT ANY COMPROMISE OF SHAPE OR TEXTURE (that’s why I use immediate digital workflow and immediate production @laboratoirebarret @laboratoirelda
Credit : @heldermouramd Pontic style
Big thanks to my assistants samantha & @ana
Full case will be detailed soon 😄
More content of soft tissue management 🔪:
@doca2rk @benjamincortasse @doc_popelut @dr_figue_maxime @dr.pierrelayan @julien_mourlaas @dnorre @dr_francois_vigouroux @guto_giordani @doc_chamieh @doc_rabiey @ctc_vienne @docmatcol @heldermouramd
#immediate #implant #implantology #digital #pontic #prosthetic #esthetics #scalopping #estheticdentistry #minimallyinvasive #estheticsurgery #lessismore #dentistparis #dentalphotography #dentaloffice #dentistlife ...
doc_garfi
Jan 31
Esthetic Implant & veneer restoration from the sky ✈️ !
Modern dentistry in 4 points:
🕘Immediate Dentistry
🪛 Minimally invasive dentistry
🕹️Digital dentistry
🧩 Monolithic dentistry
In today’s dentistry, priority is given to preservation, reproduction and patient experience.
The combination of new technical strategies, new materials and innovative technologies is offering us optimal workflows to treat esthetic cases.
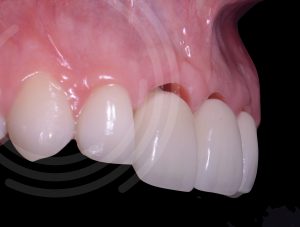
Here we have:
- immediate implant : KONTACT @biotechdental
- Immédiate digitalisation @meditcompany @labocast_france
- Immédiate milled monolithic provisional @design4me_digismile
- implant & microprep veneer digital impression
- Zirconia “veneer design” abutment
- 2 Monolithic empress veneers @asselinbonichon
#immediate #digital #dentistry #digitaldentistry #monolithic #minimallyinvasive #minimallyinvasivedentistry #preservation #veneers #esthetic #estheticdentistry #implant #implantdentistry #digitalimpression #lessismore #dentist #dentistlife #dentalphotography #reels #lessismore #patientexperience #dentaltraining ...
doc_garfi
Jan 17
🔹1 surgery : immediate implant
🔹2 concepts : micro-invasive & Socket Sealing
🔹3 products: KONTACT implant & SSA-GF @ssa_gf @biotechdental , SSA immediate Cassette @hufriedygroup_france
🔹4 pictures
🔹5 steps : Extraction/ implant/ socket preservation / SSA / digital impression
🔹30 min : from anesthesia to final X-ray
🔹3 month healing ❤️🩹
Follow more ssa providers @doca2rk @doc_popelut @dr_nicolas_henner @doc_chamieh @doc_rabiey @akhondi.dmd @dr.grogger @julienmolia @dr_benattuil_ifip @drjulienmolia @doc_max_dro @dr_sebastien_piscitello
#immediate #implant #minimallyinvasive #dental #dentist #lessismore #dentistry #aesthetics #smile #paris #biomimetic #ssaimplant #ssalovers #workflow ...
doc_garfi
Déc 20
Since now 5 years, always the same workflow for immediate implant esthetic rehabilitation .
🔵 1. Immédiate implant after extraction / immediate digital impression
⚪️ 2. Immediate (design and milling) production through local lab thanks 🙏🏻 @laboratoirelda
🔴 3. 🕘 3 months later: final impression and final crown delivery (monolithic zirconia framework with minimal buccal reduction) @asselinbonichon
Simple, easy, and so much more predictable than any other workflows (at least in my hands)
#esthetics #implant #immediateimplant #minimallyinvasive #workflow #dentalflow #stepbystep #reels #dentiste #dentist #dentistparis #frenchwork #lessismore #implant #implantology ...
doc_garfi
Déc 8
Final Follow up of a previous case that I posted few weeks ago! NO biomaterials filler was used in the socket. The rational behind is that natural blood clot is the best healing material when intact bony wall and rigid closure (SSA) are present. It has been actually highly and vigorously debated in a recent meeting @IAD
After treating several cases that way, i tend to believe that in proper selected cases, SSA + blood clot could be sufficient to ensure favorable bone regeneration…
Also, As I received some requests from SSA Gingival Fit users, here is the step by step protocol of a typical SSA indication :
step by step.
Implant : Biotech KONTACT 4.2x8
SSA GF mandibular molar
@biotechdental @biotechdental_academy
Thanks @biotechdental for supporting clinicians idea and make it happen.
#implant #ssa #dentist #immediate #minimallyinvasive #lessismore #protocol #stepbystep #lovemyjob #molarimplant #nobiomaterials ...
doc_garfi
Nov 27
IMPLANTOLOGIE OMNIPRATIQUE, numéro spécial Information dentaire ADF 2022.
Je suis fier et heureux d’avoir coordonné ce prestigieux numéro. Un grand merci aux 2 Michel(e)s pour leur confiance, et leur aide toujours bienveillante. @michelbartala @michelereners
Immense « BIG UP » aux auteurs et amis qui ont fait parler leur plume 🪶, leurs flashs 📸 , et leur matière grise 🧠 .
je vous remercie sincèrement pour votre disponibilité, réactivité et votre travail et m’excuse d’avoir qq peu perturbé vos vacances d’août 😂.
@lambert.france @doc_popelut @benjamincortasse
@julien_mourlaas
@benoitbernaud
@dr_figue_maxime @doc_rabiey @doc_chamieh @henrichaneac @gillesszotek @dr.adam_hamilton
A tous ceux qui rentrent de l’adf et tombent dessus lundi matin au cabinet… j’espère qu’il vous sera utile et que ces beaux articles vous intéresseront (autant qu’ils m’ont intéressé) et apporteront des éléments de réponses (ou de réflexion) sur ces questionnements que nous avons tous dans notre pratique implantaires quotidienne en 2022.
Bravo à toute l’équipe de l’information dentaire @infodentaire de réussir à maintenir la rigueur et le sérieux de la revue qui fait le succès depuis tant d’années.
#informationdentaire #publication #adf #implantologie #omnipratique #ID #apprendre #dentaleducation #frenchdentistry #implantdentaire #articlescientifique ...